科普健康

返回列表

孩子乳牙没掉,出现“双排牙”,要不要立即拔?

在宝贝的成长过程里,很多家长都曾经遇到过这些问题“乳牙还没掉,新牙已经长出来,拔掉?还是等待?恒牙迟迟未长出,怎么办?”脱落的每一颗乳牙见证着孩子的成长,迟迟没有脱落的乳牙,恒牙一直不出面,这些问题该如何解决呢?答案都在这篇文章里。


01




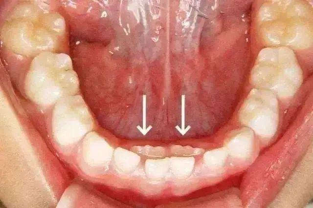
什么是乳牙滞留?





乳牙滞留是指恒牙相继长出,乳牙未能及时脱落。或者恒牙未萌出,保留在恒牙列中。乳牙的脱落与恒牙的生长之间存在着密切的关系。这种情况多见于换牙期的下颌门牙,恒牙长在舌侧,乳牙留于唇侧,出现双排牙。


微信图片_20230731090710.jpg


02




乳牙滞留的危害




1.宝宝乳牙滞留会引起恒牙萌出的方向和位置异常,甚至无法萌出,这对宝宝的颌骨发育是有影响的。


2.咀嚼率降低则会导致宝宝对食物吸收营养不到位。


3.滞留的乳牙或残根可以导致菌斑滞留,食物嵌塞,会影响口腔卫生,使口腔卫生环境发生变化会导致龋齿发生。


4.滞留的乳牙导致牙齿长歪影响面容美观和心理发展。

微信图片_20230731090710_1.png


03




双排牙一定要拔吗?




很多家长看到孩子“双排牙”后非常着急,要求医生赶紧拔掉,这样对吗?


过早过多的拔牙,容易造成孩子牙颌畸形,拔不拔牙首先要看恒牙萌出的高度,当恒牙只萌出 1/3 或者 2/3 ,且前排牙齿还没有松动的情况下,建议家长先让孩子多吃硬性食物,比如啃苹果、玉米等,促进自然脱落。




微信图片_20230731090710_2.jpg

04




乳牙滞留多久要拔呢?





恒牙已经完全长出来,保留下来的乳牙应该马上拔掉。将下颌的乳牙拔掉后,长在后面的恒牙可以恢复正常的排列。如果牙齿排列不当,应选择恰当时间矫正!乳牙拔除过程中可能出现根断裂,由于残根较接近恒牙,可以不治疗,牙根会被自身吸收或随着恒牙的爆发脱落。



微信图片_20230731090710_3.jpg

05




如何预防乳牙滞留?




换牙期,父母应该多注意宝宝牙齿的发育,防止宝宝的乳牙出现滞留。


1.在儿童早期,应该经常吃粗、硬的食物,让牙齿变得更坚固,提高咀嚼能力,减少牙齿疾病的发生。


2.应该定期带孩子检查牙齿。如发现儿童乳牙出现龋齿(蛀牙), 应立即治疗。


3.少吃糖,糖是牙齿的大敌,小孩容易出现蛀牙,就是因为喜欢甜食,家长尽量不要给孩子吃糖果,睡前更不要吃,如果吃了,应马上刷牙。


4.咬舌、吮指、舔牙等坏习惯会影响牙齿,如果乳牙排列歪斜,以后恒牙的排列也会受到影响,这是家长要重视的问题。

微信图片_20230731090710_4.jpg

总之,家长们如果发现宝宝乳牙滞留的问题,拔不拔要具体情况具体分析!如果家长不确定,建议及时带孩子到医院诊治,切勿耽搁!